
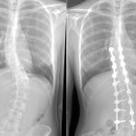
Отличить и понять, что перед нами сколиоз 2 степени (фото 2), можно потому, что его признаки внешне видны. Сколиоз 2 степени, бывает значительно труднее определить, если человек имеет лишнюю массу тела. До 8 лет часто обнаруживают сколиоз первой степени, который исправляется с помощью массажа.
Если не принимать меры, то с возрастом проблема будет только прогрессировать. К тому же будет происходить давление на грудную клетку, что впоследствии может образовать сколиоз грудного отдела позвоночника 2 степени. В этом случае неизбежно появление проблем с легкими.

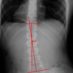
Если после 18 лет образовался сколиоз второй степени, то это не так опасно. Все потому, что шансы на дальнейшее прогрессирование минимальные. Сколиоз спины (фото 2.1) также определяют современным методом, с помощью специального теста Ресслера. Способ помогает исключить риск перехода в последующую степень, потому как s-образный сколиоз 2 степени нередко становится причиной защемления нерва.
Видимого отклонения парни и девушки со сколиозом 2 степени не будут иметь из-за ношения одежды. Прежде чем осматривать людей со сколиозом, доктор следит за тем, чтобы тело было равномерно распределено и расслаблено. Если имеется грудной сколиоз 2 степени, то ребра могут слегка выпячивать вперед. Назначается курс мануальной терапии. Грудной сколиоз не следует подвергать частой терапии, чтобы не вызвать осложнений.
В некоторых случаях лордоз позвоночника путают со сколиозом. На этом этапе симптомы могут быть схожими, однако это совсем другой вид искривления. Выглядит сколиоз 2 степени порой не так выраженно.

Сколиоз 3 степени
В большинстве случаях, s-образный сколиоз 3 степени (фото 3) бывает комбинированного типа. Это значит, что искривлению подвергается и поясничный и грудной отдел. Приобретенный сколиоз 40 градусов искривления, уже относят к этой степени. Сколиоз 3 степени сопровождается следующими признаками:
- неврологические расстройства;
- боли в пояснице, шейном и грудном отделе, такими бывают последствия сколиоза;
- отклонения в работе сердца;
- атрофия нижних конечностей, которые вызвал сильный сколиоз;
- проблемы с деторождением, которые также включает сколиоз спины 1 степени;
- психологические проблемы, когда сколиоз 3 степени, не позволяет полноценно жить.
Диагностированный сколиоз третьей степени, позволит получить 3 группу инвалидности. Это условие может затруднить жизнь человека. Чтобы подобного избежать, надо вовремя лечить s-образный сколиоз 2 степени. На сегодняшний день искривление позвоночника лечат за счет ЛФК.

Как выглядит сколиоз 1 степени
Из всех возможных видов сколиоз 1 степени (фото 4) является самым начальным. Отклонения абсолютно незначительные. Это приблизительно, сколиоз 11 градусов искривления. Каким образом выглядит сколиоз 1 степени, заметит опытный специалист. Обычному человеку сложно разглядеть нарушение, особенно если это сколиоз 7 градусов искривления и меньше.
Чаще всего наблюдается левосторонний сколиоз поясничного отдела. А вот сколиоз грудного отдела позвоночника 1 степени, наоборот, в большинстве случаев правосторонний. Осматривая пациента имеющего грудной сколиоз 1 степени с переходом во 2 стадию, обращают внимание на:
- симметрию треугольников талии;
- положение плеч, если имеется сколиоз грудного отдела позвоночника, они будут не на одной линии;
- складки на ягодицах, которые будут не равномерными, если прогрессирует сколиоз поясничного отдела позвоночника.
Деформация ягодичной складки может быть с разной стороны, в зависимости от того правосторонний или левосторонний поясничный сколиоз.
В основном, сколиоз грудной клетки излечивают с помощью корсетов и специальных кроватей. Без всякого лечения, степени сколиоза могут усугубляться, что повлечет за собой серьезные последствия. Также отмечу, что продольное и поперечное плоскостопие в малой степени провоцирует сколиоз первой степени.

Сколиоз 4 степени
Самой тяжелой формой является сколиоз 4 степени (фото 5), когда искривление заметно окружающим. Лечение требует серьезных мер. Чаще всего сколиоз 4 степени исправляется только оперативным путем. У пациента, имеющего с-образный сколиоз, спина в буквальном смысле согнута в одну из сторон. Изгиб обычно более 50 градусов. 4 стадия сколиоза формируется при игнорировании лечения 3 стадии.
Правосторонний или левосторонний грудной сколиоз опасен тем, что меняется не только скелет, но и органы. Могут начаться проблемы с ЖКТ и легкими. Также имеется риск перехода в условный сколиоз 5 степени. Такого рода сколиоз у детей бывает редко. Взрослый человек наиболее подвержен этому виду.
В 4 стадии сколиоз шейного отдела позвоночника вместе с грудным и поясничным, представляют собой полностью искривленную спину в форме буквы S. Такие нарушения наблюдались вследствие внутренних изменений организма. К тому же, шейный сколиоз приводит к патологиям важных органов.

Виды сколиоза позвоночника
Не стоит рассматривать кифоз позвоночника, как разновидность сколиоза. Это явление называется сутулостью. Сколиоз позвоночника (фото 6) легко отличить, пройдя медицинский тест. Бывает левосторонний и правосторонний сколиоз, в зависимости от стороны искривления. Возникает в грудном или спинном отделе. В любой форме заболевание необходимо лечить в срочном порядке, сколиоз до и после операции значительно отличается.
Если обнаруживают сколиоз позвоночника у взрослых, то провести лечение намного проще, нежели у детей. Поэтому в детском возрасте необходимо постоянно проходить обследование у ортопеда. Сколиоз по степеням отличается тем, что с каждым новым этапом искривление увеличивается, что только усугубляет процесс лечения. Правильно определить сколиоз 1-4 степени может только доктор.
Часто встречается такой недуг, как шейный остеохондроз позвоночника. Заболевание не является формой сколиоза, однако при его наличии только прогрессирует. Формы и виды сколиоза позвоночника настолько различаются, что для диагностики порой требуется время.
Галерея фотографий сколиоза
Плейлист видео про сколиоз (выбор видео в правом верхнем углу)







(голосов: 8, в среднем: 4,75 из 5)